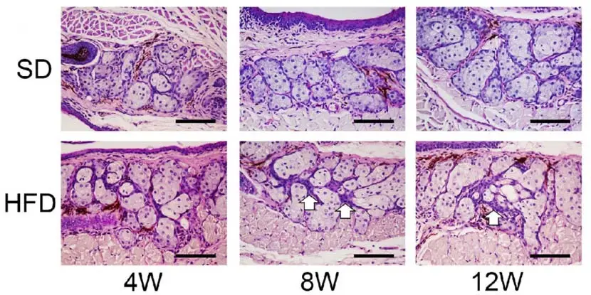
High-fat diets and increased lipid levels may cause meibomian gland inflammationEyenews2427 mar 2022Tempo di lettura: 0 min
Commenti